

インプラントとは
Implant
インプラントとは、ご自分の歯と同じように自然に噛める「人工歯根治療」のことです。
「入れ歯」や「ブリッジ」とは異なり、審美性、耐久性、噛む力など
全ての点において優れた「第2の歯」と言っても過言ではありません。
顎の骨に埋め込み、骨と強固に結合させ、それを土台にして自然の歯と同じような歯を
取り付けることによって、自分の歯とほとんど同じ感覚が取り戻すことができます。
力強く噛め、顎の骨にもきちんと刺激が伝わるので、
自然の歯のような食感、美味しさを感じることができます。

ネオバイオテックインプラント
全国1位

過去3年間の埋入件数
・令和4年 352件
・令和5年 402件
・令和6年 401件

自然な見た目
多くの人がインプラント治療を選択する最大の理由は「自然な見た目」です。インプラントは、従来のブリッジや入れ歯のような大きな装置ではなく、その構造は天然歯と同じように骨の中で支えられます。そのため仕上がりも自然で美しいため、カメラなどで接写されても治療を受けたことに気付く人はまずいないでしょう。一目で装着していることがわかる入れ歯より自然なインプラント治療を望む方が多いです。


発声・発音への
影響が少ない
インプラントの場合、発声・発音の影響はほとんどありません。 特に、お話を主にする職業の患者さんはインプラント治療を希望される患者さんが多いです。


歯列矯正より
治療期間が短い
インプラントは、悪い歯並びを改善する目的で行われることもあります。歯並びの乱れは基本的に歯列矯正でなければ改善が難しいものの、歯根から埋め込むことができるインプラントなら根本的に治療することも可能です。しかも歯列矯正は装置が目立ちやすいだけでなく、治療にかかる期間も数年に及びます。それなら比較的短い期間で悪い歯並びを根本から改善できるインプラントが選択肢として上がってくるのです。


費用対効果が高い
インプラントは原則として自費診療となるため、治療にかかる費用は比較的高いです。ただ、数年かけて歯並びを良くする歯列矯正は、総額で1,000,000円前後かかるのが一般的であり、数ヶ月で美しく健康的で、しっかり噛める歯が手に入るのであれば、インプラントの方が費用対効果も高いといえるでしょう。インプラントは適切なメンテナンスを継続することで、一生涯使い続けることも難しくない装置である点も忘れてはいけません。こうした特徴がある方法だからこそ、根強い人気があるのです。

インプラントのメリット・デメリット
Merit & Demerit
〇メリット
- 歯に近い構造なので自分の歯と同じような感覚で噛むことができます
- 審美的に美しく、インプラントにしている事はほとんど分かりません
- ブリッジや入れ歯に比べ、他の歯に負担をかけないだけでなく顎の骨を守る役割もします
×デメリット
- インプラントは自由診療なので保険が効きません
- お口や身体の状態によってはインプラント手術ができない方もいます
- 治療期間がお口の状態にもよりますが、長期間になる場合があります
嶋本歯科クリニックでは
In this clinic
年間400症例以上、
他院とはここが違います
〜サージカルガイドを活用した、
安全安心の手術〜
サージカル(手術用)ガイドとは
当院のインプラント治療では安全性確保のために、手術用ガイドを使用する場合があります。
CTデータによる解剖学的診断を基に作成した手術用ガイドを使用することによって、インプラントの埋入手術を、安全性・正確性に配慮し、迅速に行うことができる方法です。インプラントの埋入は、顎骨に施術して行いますが、その際、ドリルの着地点と角度を正確な方向に導き、またドリルがぶれないように保持する医療器具が手術用ガイドです。手術用ガイドの使用によって、インプラント治療の最大のリスクだと考えている、ドリリングの不具合を最小限に抑えられます。そのため、患者さまには安心して治療を受けていただけると考えています。
サージカルガイド利用のメリット
- 切開を最小限に留め、低侵襲な手術を行うことで、痛みや腫れの軽減ができる
- 安全性に配慮したインプラント埋入手術を行える
- シミュレーション通り、正確にインプラントを埋め込むことができる
- これまでに出来なかった難症例でも可能になる

サージカルガイドの作成方法

1.事前に患者様の顎の石膏模型を作成し、それに合ったステント(マウスピースのような物)を口腔内に入れてCT(コンピュータ断層)撮影します。

2.そのCTデータをインプラント専用の解析ソフトで立体画像化し、歯科医師がソフト上で、一人ひとりの患者様に最適なインプラントの手術計画を決定します。

3.その計画に従って安全・正確に手術を進めるために、3次元立体プリンタで手術用ガイドを作成します。
CTデータを元に綿密な治療計画を立て、
しっかりとした精度と正確性を持った手術用ガイドを作成することによって
「患者さまに優しいインプラント治療」の可能性が広がったと感じています。
インプラント治療の流れ
Flow

カウンセリング
(インプラント相談)
カウンセリングでは、インプラント治療へのご不安や疑問などのご相談を無料で承っております。まずはお気軽に相談ください。お口の中のお悩みのほか、インプラントの概要やメリット・デメリット、インプラント以外の効果的な治療方法など、丁寧に説明いたします。



計画・検査
歯周病の検査や歯型をとり、残っている歯や噛み合わせについて細かく確認を行います。 また、CTスキャンを使用して、あごの骨の密度や量を細かく検査します。
検査結果や健康状態、かぶせ物の材質や形、色などのご要望などから、今後のスケジュールや費用を算出し、治療計画をご提案していきます。ご納得いただいた上で、一次オペの予約をお取りいただきます。



一次オペ インプラント埋入
歯の根となる、インプラント体をあごの骨に埋め込んでいきます。
歯茎を開いて、インプラントを埋め込むための穴を作り、インプラント体を埋め込みます。埋め込む本数や抜歯・再生治療の有無により、処置時間が変わります。



抜糸・消毒(処置後1~2週間)
処置後、1~2週間ほどで、インプラントを埋め込む際に使用した糸を抜糸します。必要に応じて仮歯の調整を行い、待機期間中の生活に支障がないようにします。



待機期間
インプラント体が骨と結合して一体化するのを待ちます。
待機期間は、治療箇所や骨の状態によって変わります。



二次オペ アバットメント取付
骨とインプラントが一体化していることを確認します。定着していることが確認できたらインプラント体にアバットメントを装着します。処置後は1-2週間ほど、歯茎の形が整うのを待ちます。必要に応じて仮歯を調整します。



被せる歯の型取り
歯茎の傷が治ったら、インプラントの上に被せる人工歯の型取りをします。人工歯の接触の仕方だけでなく、全体の咬合を考慮して人工歯を作製していきます。



完成
出来上がった人工歯をインプラントに装着し、咬み合わせの調節をしていきます。また、インプラントは歯周病に弱い為、セルフケアの質を高めるためにブラッシング指導を行います。



メンテナンス
インプラントに人工歯を装着した後も、インプラント周囲炎を予防するために定期的にメンテナンスを受けましょう。歯茎が炎症を起こしてしまうと、インプラントが不安定な状態となり、破損したり外れてしまったりする可能性もあります。
インプラント治療が終わった後も、天然歯と同様に定期検診を受ける事をおすすめします。丁寧にブラッシングを行い、デンタルフロスや歯間ブラシで歯間も手入れすることで、長く快適にインプラントを使えます。


インプラント治療の費用
Cost
| 相談 | 無料 |
| セカンドオピニオン | 無料 |
| インプラント(一次オペ) | 220,000円~ |
| インプラント(二次オペ) ※人工歯の種類により変動 | 110,000円~187,000円 |
| CGF | 11,000円 |
| ソケットリフト | 55,000円 |
| GBR(人工骨) | 55,000円 |
| パノラマ・CT撮影 ※オペ中、オペ後のレントゲン撮影も含まれます | 11,000円 |
| 手術用ガイド ※解析の結果、インプラント治療が難しい場合は、 作製費用(55,000円)のみ返金となります | 16,500円(ステント作製費用) 16,500円(CT解析料) 55,000円(作製費用) |
CGF再生療法について
CGF
骨の厚みや深さが足りない場合、骨の再生(骨造成)手術をしなければインプラントを埋入できません。当院では、患者さまから採血した血液を使ったCGF再生療法を行っています。
患者さまご本人から採血された血液に添加物(抗凝固剤や凝固促進剤)を一切加えずに遠心分離機にかけて作製します。患者さまご自身の血液による、完全自己血液由来のフィブリンゲルですので、安全性が高く、骨が出来るのを早めたり、傷口の治りを早めたりする効果が期待できます。

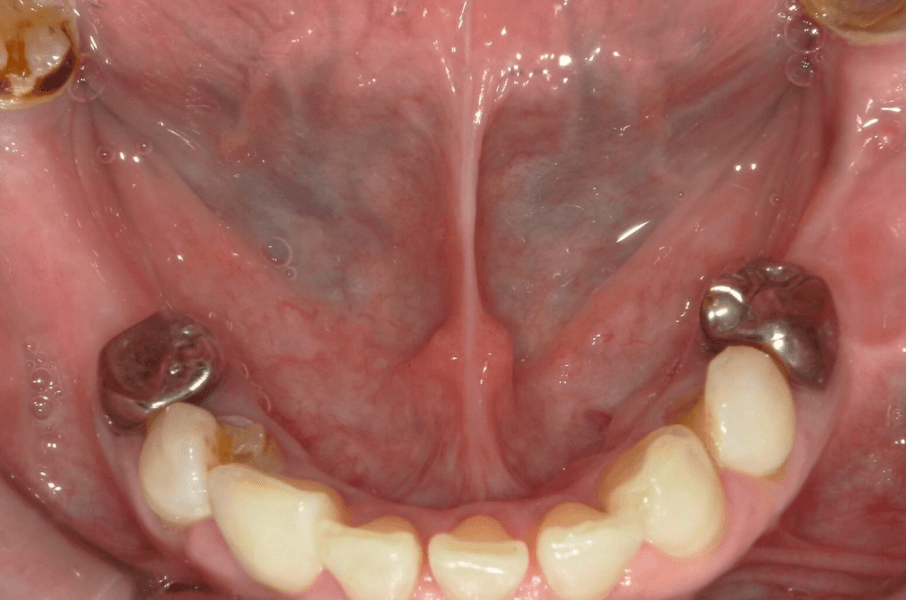
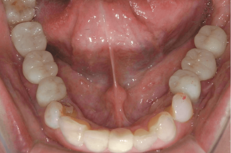
インプラント治療の症例
Case
当院のインプラント治療の症例をご紹介します。

インプラント治療前

インプラント治療後
インプラント治療のよくあるご質問
FAQ
インプラントの素材は何ですか?
体内での安定性が非常に高いチタンに、骨とのなじみをさらによくする表面処理を施した素材を使用しています。チタンがアレルギーを引き起こす確率は非常に低いです。
治療費はどの程度かかりますか?
インプラントの埋入本数、手術方法などによって変わってきます。当院では個別に治療計画・お見積りをお渡しし、ご理解同意をいただいたうえで手術を行っております。また、インプラントは医療費控除対象となります。
医療費控除とは、自分のその生計をひとつにする親族の年間医療費が10万円(所得合計が200万円までの方は所得合計額の5%)を超えた場合、確定申告時に治療費の領収書を提出することで、税金の還付が受けられる制度です。
インプラント治療は誰でも受けられますか?
年齢の上限はありませんが、骨の状態によっては、治療をうけることができな場合があります。他の病気や健康上によっても受けられない場合がありますので、歯科医とよく相談し、きちんとした診断を受けてください。
治療期間はどのくらいですか?その間の歯は?
インプラントの本数、上顎か下顎により治療期間は異なりますが、インプラントが周囲の骨になじみ、人工の歯をかぶせるまでに約3~6ヶ月かかります。治療中は仮歯や仮の入れ歯を入れるので食事や会話に支障はありません。
インプラントの耐久性はどのくらいですか?
一般的な平均のデータですが、約10〜15年経っても9割以上がインプラントの状態を保持しているという数値が出ています。さらにインプラント治療を行うことで、残っている自分の歯も守られて、失われる歯の本数が圧倒的に少ないのです。
長持ちさせるためには、自分の歯と同じように毎日の手入れが必要です。指導されたブラッシング方法で磨き、定期的な検診は必ず受けましょう。
術後、注意することはありますか?
手術自体は麻酔をして行うので、ほとんどの場合、痛みもありませんが、術後1~2日、痛み・腫れが出ることがあります。歯科医の指示に従い、食事も固い物を避けるなどの配慮をしましょう。

