

むし歯とは
Caries
むし歯とは、むし歯菌によって歯が溶けてしまう病気です。
むし歯原因
むし歯の原因には「細菌」「糖質」「歯の質」の3つの要素があります。この3つの要素が重なった時、時間の経過とともにむし歯が発生します。

むし歯の症状・影響

むし歯の治療法

むし歯を放置すると・・・
- むし歯は自然に治ることはありません
むし歯は放っておくと、どんどん進行していきます。「痛みがおさまったから治った。」と思う方が多くいらっしゃいますが、一時的に痛みが和らいでいるだけでむし歯はどんどん進行しています。
- 口臭がひどくなります
根に溜まった病巣や、膿などがニオイを発します。ご自身では気づきにくくなっており、実は周りの方が不快な思いをしている場合があります。
- 笑顔に自信が持てなくなります
笑うと黒ずんでいる歯が見え隠れ。そんな症状から笑顔が不自然になったり、笑った時に手で口元を隠すなど、周りの方には意外に気づかれている場合もあります。
- 食べたいものがたべられなくなります
噛むと痛みがあるようなむし歯の場合、固い食べ物を避けたり、むし歯とは反対の歯だけで噛むようになりお食事が不自由になります。
- 治療費が高くなっていきます
むし歯は進行すればするほど、むし歯の本数が増えれば増えるほど治療にお金がかかります。
嶋本歯科クリニックでは
In this clinic
お口の中の状態は人それぞれです。嶋本歯科クリニックではまず、カウンセリング時にご不安やお悩みを伺いながら、どんなご要望(希望内容やご予算面など)をお持ちなのかを明確にします。保険治療・自費治療問わず適切な治療方法を提案・説明いたします。

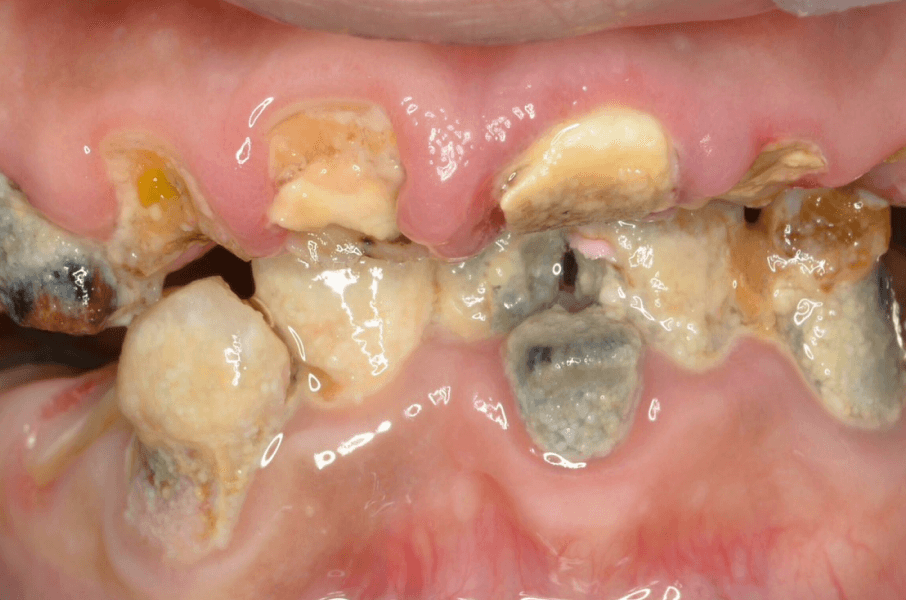
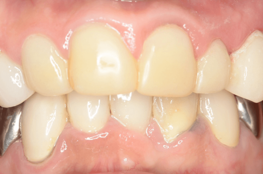
むし歯治療の症例
In this clinic
当院のむし歯治療の症例をご紹介します。

むし歯治療前

むし歯治療6ヶ月後。全て保険治療です。
むし歯治療のよくあるご質問
FAQ
むし歯は自然に治りますか?
むし歯が自然に治ることはありません。小さなむし歯も放置すれば進行し、やがて神経まで達してしまい、神経や歯自体をとるなど、大掛かりな治療が必要になります。
また、治療回数や費用面でも患者さまの負担は増えていきます。異常に気付いたら、早めに歯科医院を受診しましょう。
小さなむし歯らしきものを見つけました。治療は必要ですか?
治療が必要なむし歯かどうか、先ずは歯科医院で検査を受けましょう。
むし歯は表面よりも中で大きく進行します。表面では小さな穴や黒い点程度のものが、中では大きく広がっていることはよくあります。治療が必要かどうかを正確に判断するために、大小にかかわらずむし歯らしきものを見つけたら、先ずは検査を受けましょう。
歯の痛みがいつの間にか治まりました。治療は必要ですか?
治療が必要かどうか、先ずは歯科医の検査を受けて確認しましょう。むし歯が神経にまで達すると痛みが収まることがあります。この場合、むし歯はかなり悪化しており、直ちに治療が必要です。悩むより検査を受けて確認しましょう。
治療した歯がもう一度むし歯になりますか?
一度治療した歯でも、歯と被せ物との隙間や残った歯質にむし歯ができることはあります。毎日の正しい歯磨きなどのセルフケア、定期検診やPTMCなどのプロフェッショナルケアで再発は防ぐことができます。
歯の神経を取りました。大丈夫でしょうか?
歯の神経を取ると歯が折れやすくなったり、変色したりします。また痛みを感じなくなるので、むし歯の再発に気付か重篤化してしまうというリスクが生じます。正しい治療を受け、定期的に予防処置を行うことで問題は防げます。
歯周病とは
Periodontal Disease
歯を支える歯ぐき(歯肉)や骨(歯槽骨)が炎症により破壊されていく病気です。
原因・理由
歯周病の直接的原因
歯肉炎・歯周炎を含む歯周病の直接的な原因は、歯垢(プラーク)です。歯垢は生きた細菌の塊で、そのほとんどが酸素の少ない場所を好むため、歯と歯ぐきのすき間(歯周ポケット)に潜んでいます。この歯垢中の細菌が出す毒素によって、歯ぐきに炎症が起きてしまうのです。
歯周病の間接的原因
歯肉炎・歯周炎を含む歯周病は、「口腔内の環境」や「生活習慣」にも間接的な原因となるリスクファクター(危険因子)が潜んでいます。歯肉炎のケアには、適切なブラッシングで歯垢(プラーク)を取り除くことと、リスクファクターを少なくしていくことが必要です。

症状・影響

治療法
プラークコントロール
一般にプラークコントロールとは、歯や歯ぐきに付着したプラーク(歯垢)を抑制、除去することをいいます。歯周病予防・治療を行うには、まずプラークコントロールが重要です。正しい歯みがきの方法や、歯間ブラシ・デンタルフロスなどを使用し、プラークを取り除くことが予防・治療につながります。 正しいブラッシング方法なども当院で指導しますので、ぜひご相談ください。

スケーリング
「スケーリング」とは「スケーラー」という専用の器具を使い、歯根表面の歯垢・歯石などを除去することをいいます。除去することにより歯ぐきの炎症が和らいでいきます。歯石はブラッシングなどのセルフケアでは除去することができません。また、歯石は一度除去しても時間の経過と共に再形成されるため、定期的に除去してむし歯や歯周病の予防効果を上げましょう。
当院では、超音波による微細振動で歯に付着している歯石を剥がし、粉砕する「超音波スケーラー」を使用しています。短時間での除去が可能になり、患者さんへの負担も少ないというメリットがあります。

歯周外科治療
歯周外科治療(フラップ手術)とは、中度歯周病以上又は、重度歯周病まで進行してしまった歯周病に対して行う外科処置です。歯茎を開いて、歯周病の根本原因になっている歯の根などに付着している歯垢・歯石など毒素を除去します。

放置すると・・・
歯周病を放置しておくと、歯ぐきから出血しやすくなったり、歯ぐきがブヨブヨしてきたり、歯が浮いたように感じるなど、歯ぐきにさまざまな症状が出てきます。最終的には、歯を支えている骨が溶け、歯が抜けてしまう恐ろしい病気です。歯周病は1本の歯だけでなく、周辺の歯にも感染するため、放置したままにしておくと何本もの歯を失ってしまう原因となります。また、近年の研究で“歯周病と全身疾患”がとても深く関係していることが分かっています。歯周病には、さまざまな原因が考えられますが、進行してしまうと患者さまご自身で治すことが出来ないため、少しでも歯周病が疑われる状態でしたら、歯科医院での早期受診をおすすめいたします。
歯周病が引き起こす全身疾患(歯周病と関連する病気)
嶋本歯科クリニックでは
In this clinic
もし歯周病が重症化しても、高度な治療で回復を図れる可能性はありますが、そもそも歯周病にならなければその必要もありません。歯周病にならないことが、体に一番負担が少ないのです。
嶋本歯科クリニックでは、患者さまのお口の健康を守ることで全身の健康を守るべく、予防歯科に力を入れています。数ヶ月〜半年に1回はご来院いただき、定期検診とプロのメインテナンスでお口の清潔を保ち、歯周病の感染や再発を防いでいきましょう。

歯周病治療のよくあるご質問
FAQ
歯周病について教えてください
以前は、歯槽膿漏と言われていた病気です。歯にたまった細菌の影響で、歯の周りの骨が溶け、歯がグラグラして、いつか歯が抜け落ちてしまう恐ろしい病気です。ほとんど痛みがないので自覚することもあまりなく、成人の80パーセントが歯周病であると言われております。歯を失う原因の一位は歯周病でもあります。
歯周病の治療方法について教えてください
歯周病の治療は基本的にはついている汚れを全て取り除くこと、今後新しい汚れを可及的につかなくする、この2点になります。まず正しい歯磨き方法を教えますのでそれを毎日やってもらいます。そして歯科衛生士による歯石除去を行うことになります。歯周治療はこちら側が一方的に治す病気ではなく患者さんと共に協力して治していく病気です。
歯周病もむし歯のように痛みますか?
歯周病はサイレントキラーと呼ばれ、ほとんど痛みがなく、自覚症状がないままに進行していきます。自覚症状に頼ると気付いた時には手遅れになり、抜歯ということも多い病気です。定期的な歯科医院での検診をお勧めします。
歯周病になりやすいタイプはどんな人ですか?
細菌さえいなければ、決して歯周病になる事はありません。しかし、歯周病菌の量が同じでも歯周病になりやすい人というのはあります。その例としては歯ぎしりや食いしばりが多い方、歯並びの悪い方、喫煙している方、糖尿病の方、ストレスが多い方、食生活の偏った方などです。このような方はより歯周病に気をつける必要があります。






