MEDICAL
診療科目 - 審美歯科
- ホーム
- 審美歯科
審美歯科とは
Cosmetic Dentistry
審美治療は、一般の歯科治療とは異なり、歯を白くしたり、歯並びを整えたり、
銀歯をセラミック素材の詰め物や被せ物に変更したりなど、歯や口元の美しさを追究します。
見た目だけではなく、審美治療を行うことで歯の機能性を高める役割もあります。
銀歯をセラミック素材の詰め物や被せ物に変更したりなど、歯や口元の美しさを追究します。
見た目だけではなく、審美治療を行うことで歯の機能性を高める役割もあります。
審美治療は、一般の歯科治療とは異なり、歯を白くしたり、歯並びを整えたり、銀歯をセラミック素材の詰め物や被せ物に変更したりなど、歯や口元の美しさを追究します。
見た目だけではなく、審美治療を行うことで歯の機能性を高める役割もあります。
見た目だけではなく、審美治療を行うことで歯の機能性を高める役割もあります。
嶋本歯科クリニックでは・・・
嶋本歯科クリニックでは、歯や口元でお悩みの皆さんにしっかりとヒアリングをさせていただいた上で、様々な治療をご提案させていただきます。患者さまが、「より快適で美しい歯」によって悩みやストレスから解放され、「心の健康」を取り戻すお手伝いをさせていただきます。
このようなお悩み・症状はご相談ください
-
歯を白くしたい
-
金属アレルギーが心配
-
詰め物(被せ物)が黒い気がする
-
口元の印象を良くしたい
-
銀歯を目立たないようにしたい
-
白い詰め物(被せ物)にしたい
-
歯の黄ばみが気になる
-
口元を明るくしたい
セラミックのメリット・デメリット
○メリット
-
天然歯にかぎりなく近い色なので目立たない
-
金属アレルギーの心配がない
-
生体親和性に優れている
-
変色がない
-
プラークが付着しにくく虫歯になりにくい
×デメリット
-
素材が固いので、噛み合う歯を傷つけることがある
-
保険適応外のため治療費が高くなる
-
セラミックを被せる為には歯を削らないといけない
嶋本歯科クリニックで取り扱っている補綴
オールジルコニアクラウン
審美性:◎
耐久性:
清潔さ:◎
人工ダイヤモンドと呼ばれることもある素材で、非常に耐久性が高いセラミックです。その耐久性から、奥歯などの噛む力が強くかかる部分にも使用できます。ジルコニアセラミックなどに比べると透明感はやや劣りますが、色が白く周りの歯ともなじみます。
メタルフリーのため金属アレルギーや歯ぐきの変色のリスクもありません。
○メリット
-
優れた強度・耐久性
-
変色しない
-
メタルフリーで安心の素材
-
虫歯になりにくい
×デメリット
-
修理、調整が困難
-
高価
オールセラミッククラウン・インレー
審美性:
耐久性:◎
清潔さ:◎
陶器素材でつくられており、金属を一切使用していません。
色合いや形などの自由度が高いことが特徴です。色調と質感が特に優れていて、透明感があります。メタルフリーのため金属アレルギーや歯ぐきの変色のリスクもありません。
色合いや形などの自由度が高いことが特徴です。色調と質感が特に優れていて、透明感があります。メタルフリーのため金属アレルギーや歯ぐきの変色のリスクもありません。
○メリット
-
優れた強度・耐久性
-
変色しない
-
メタルフリーで安心の素材
-
虫歯になりにくい
×デメリット
-
修理、調整が困難
-
高価
メタルボンド
審美性:◎
耐久性:◎
清潔さ:◎
内側に金属を使用し、外側を審美性に優れたセラミックで覆った被せ物です。
金属を使用しているため強度が高く、奥歯など力のかかる部分にも使用できます。他の白い素材に比べると透明感はやや劣りますが、見た目が白いため目立ちにくさもあります。
変色の心配も少なく、天然歯と同じくらいの固さなので噛み合う歯を痛めることもありません。
金属を使用しているため強度が高く、奥歯など力のかかる部分にも使用できます。他の白い素材に比べると透明感はやや劣りますが、見た目が白いため目立ちにくさもあります。
変色の心配も少なく、天然歯と同じくらいの固さなので噛み合う歯を痛めることもありません。
○メリット
-
適合性、耐久性に優れている
-
滑沢な表面構造
×デメリット
-
内側が金属でできているため、他の白い素材に比べて、透明感や色調は劣る
-
金属アレルギーを引き起こすリスクがある
-
歯ぐきとの境が黒く変色することがある
ゴールドクラウン・インレー
審美性:◎
耐久性:
清潔さ:◎
生体親和性に優れた貴金属(金合金、白金加金など)でできていて、科学的に安定した素材です。そのため他の金属素材よりもサビに強く、金属アレルギーや歯ぐきの変色のリスクが低く、金属の溶け出しも少ない素材です。
汚れもつきにくく、ある程度の柔軟性もあるので噛み合う歯を傷めることもありません。
汚れもつきにくく、ある程度の柔軟性もあるので噛み合う歯を傷めることもありません。
○メリット
-
金属なので割れにくく丈夫
-
噛む力が強くかかる部分にも使用可能
-
保険の金属よりサビに強く、歯ぐきが変色する恐れも少ない
×デメリット
-
高価
-
金属色が目立つため気になる
ラミネートべニア
審美性:◎
耐久性:○
清潔さ:◎
歯の表面を少しだけ削って、天然の歯に近いセラミックの薄いシェルを貼り付け、見た目の改善を治療する方法です。歯の形や色、小さな歯並びの問題などで、歯をほとんど削らないため侵襲が少なく、樹脂による治療に比べ劣化しにくい審美治療となります。
○メリット
-
治療期間が短い
-
変色しにくい
-
歯並びや歯の形、白さが同時に叶う
×デメリット
-
高価
-
適応が限られる
-
健康な歯質を削る
-
再治療のリスク(歯肉が退縮すると不適合となる)
PMTCについて
PMTCとは
PMTC(Professional Mechanical Tooth Cleaning)とは、専用の清掃器具と研磨剤を使用した歯のクリーニングです。
十分に歯磨きを行っても、すべての汚れを除去することは困難です。
ヨーロッパで行われた研究では、歯ブラシだけでは全体の50〜60%しか除去できないという報告があります。 丁寧に磨いたつもりでも、磨きにくい場所には、プラーク(汚れ)が蓄積して、バイオフィルムという塊になります。そのバイオフィルムは、歯の表面にこびりついて、歯ブラシでは除去できなくなってしまいます。
バイオフィルムとは、虫歯の原因であるミュータンス菌によって作り出される不溶性グルカンの被膜のことで、歯ブラシでも除去しきれません。これが虫歯や歯周病の原因の一つとされています。
PMTCのクリーニングは、歯ブラシでは除去できないバイオフィルムを除去し、虫歯、歯周病を予防します。また、歯の着色(たばこのヤニやお茶渋など)を取り除くので健康的で美しい歯本来の白さを取り戻すことができます。
PMTCはこんな方におすすめ
-
歯周病や虫歯予防のために徹底して歯のクリーニングをしておきたい方。
-
最近、歯磨きしても歯がザラついている、汚れが付きやすくなった、口臭が気になる方。
-
歯の着色(たばこのヤニやお茶渋など)が付きやすく、気になる方。
-
お口の中に歯磨きが困難な矯正装置やブリッジなどの補綴物が入っている方。
-
歯のお手入れになかなか気を配れない、頻繁にクリーニングにお越しになれない方。
-
ホワイトニング効果を高めたい方。
-
インプラント治療をして、インプラント周囲炎予防をしたい方。
施術の内容・流れ
歯石除去
フロス
1次研磨・
バイオフィルム除去
2次研磨・
トリートメント
歯肉マッサージ・
舌クリーニング
オプションメニュー
-
頑固な着色、ヤニ、ヌメリが気になる方・・・JET(エアーフロー)
-
歯肉の腫れ、歯周病が気になる方・・・歯肉用トリートメント(SP-T)
-
虫歯になりやすい、予防したい方・・・フッ素塗布
-
頑固な着色、ヤニ、ヌメリが気になる方
→ JET(エアーフロー) -
歯肉の腫れ、歯周病が気になる方
→ 歯肉用トリートメント(SP-T) -
虫歯になりやすい、予防したい方
→ フッ素塗布
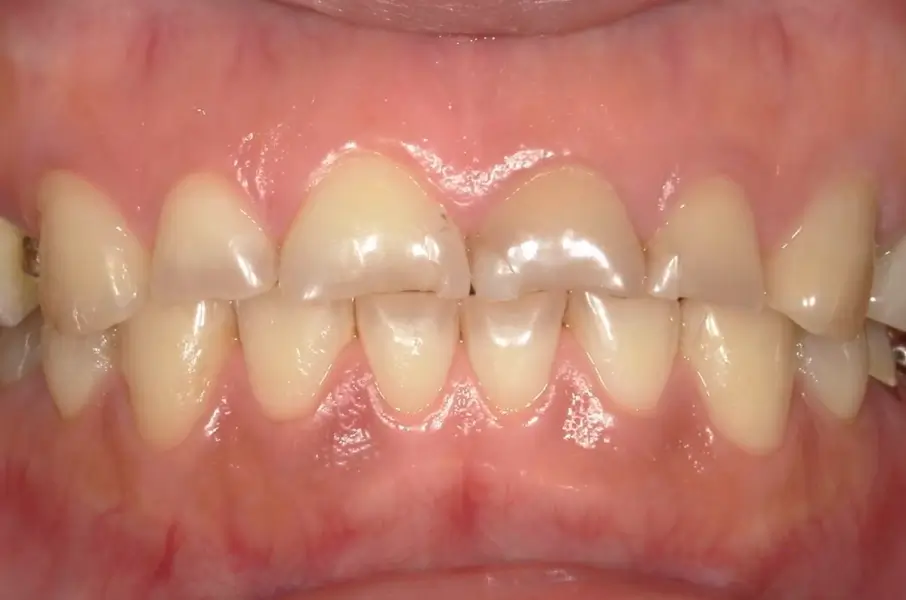
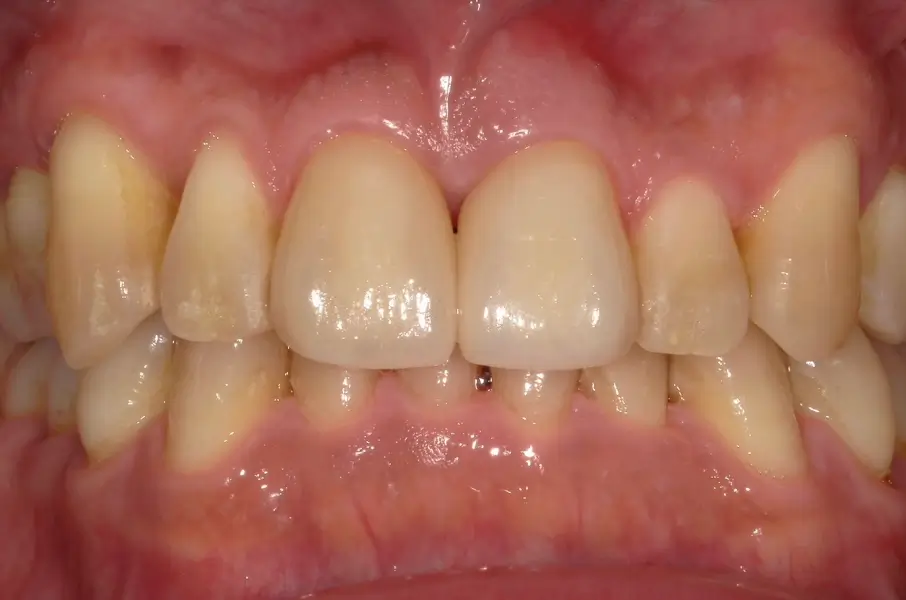
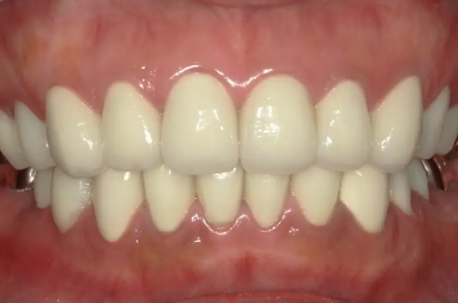
審美歯科の症例
Case
当院の審美治療(ラミネートベニア)の症例をご紹介します。
当院の審美治療(咬合再構築)の症例をご紹介します。
審美歯科のよくあるご質問
FAQ
審美治療とはなんですか?
審美治療は、歯の白さや歯並びなどの美しさに焦点を当てた歯科医療のことをいいます。
審美歯科治療に保険は適用されますか?
歯科診療は保険診療と自費診療に分けられるのですが、審美歯科治療は、使用する材質によって保険の適用外になります。しかし、保険が適用されるレジンや金属より、保険外ではあってもセラミックの方が美しく耐久性があります。
オールセラミックの治療はどのような利点があるのでしょうか?
汚れや歯石がつきにくく落ちやすい素材ですので、虫歯や歯周病のリスクも低いと言われています。長年使っていても着色しにくく、変色しません。また、オールセラミックの場合は金属を使わないため、金属アレルギーの方でも安心して使用することができます。
セラミックの歯は割れやすいのでしょうか?
セラミックの強度に問題はありませんが、陶器であるセラミックは強い衝撃には弱いという特性があります。その為、「歯ぎしり・くいしばり」により著しい擦り減りが起きたり、「ぶつけた」など、過剰な衝撃を受けた時に割れる事があります。こうした衝撃においてはセラミックに限らず天然の歯でも起こりうる問題です。
審美歯科に関する記事
Article